Tiny Texans Pediatric Dentistry

Lip tie and tongue tie frenectomy

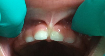
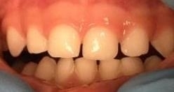
The lip tie was released on an 11 month infant.  One year later you can start to see the gap between the front teeth close. Although the tie was released for other issues, you can see the alignment of a child's front teeth change, especially if done before the canines erupt. 

The full tongue tie was released on a newborn due to issues with nursing. Using a soft tissue laser, there is minimal bleeding after the procedure. Mom saw a significant improvement with nursing after the frenectomy was completed.

Getting an appointment is fast and easy!
If you have difficulty using our website, please email us or call us at (512) 646-4500