Frenectomies
The frenectomy procedure might sound intimidating, but it is a long word to describe a simple method having to do with tissue in the mouth.
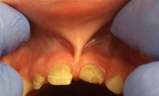
The tissue that attaches any organ to nearby tissue to prevent it from flopping around is called frenum, or frenulum.
When the frenum of the lips or tongue is too tight or short, it can make routine tasks difficult such as:
- eating and swallowing
- talking or pronouncing certain letters such as T, S, Z, and R
- breastfeeding because latching on is difficult
Your pediatrician or lactation specialist might recommend a frenectomy. The frenectomy procedure releases the frenum so movement is not inhibited.

Frenectomies at Tiny Texans Pediatric Dentistry
Most babies tolerate the frenectomy procedure quite well. Although crying and fussing are common, the area is numbed with a topical gel and a bit of local anesthetic is injected, if needed, to reduce discomfort. You child might drool a bit more than normal once the anesthetic wears off. Some babies might need a bit of acetaminophen (Tylenol) afterward.
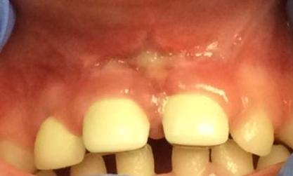
After the procedure, you can soothe your baby with nursing or bottle feeding immediately. Your child will recover quite quickly, and success rates for the surgery are high.
Our office has completed numerous successful frenectomies on children of all ages using a top of the line LightScapel CO2 laser. The benefits of a frenectomy are usually positive and immediately noticeable. The only caution is that because the mouth heals so quickly (especially on an infant), this could cause premature reattachment at either the tongue site or the lip site, causing a new limitation in mobility and the persistence or return of symptoms.
At your consultation appointment, Dr. Christina Ramirez will review stretches with you to perform on each site being treated to help prevent reattachment. These stretches involve moving the lip or tongue to keep the muscles loose at the release site.
You might also want to spend some time helping your child improve sucking quality. These involve rubbing the gums from side to side while your baby’s tongue follows along. You can also try to let your child suck on your finger while gently pulling it away.
For the last few decades, frenectomies are not something that dental schools have been educating future dentists on. Fortunately, Dr. Christina has completed several training courses to learn how to diagnose, educate, and treat the problems associated with the frenum—especially on infants who have trouble with breastfeeding.
If your doctor or lactation specialist has suggested a frenectomy for your infant, contact our office and talk to Dr. Christina about this common procedure. She can answer any questions you might have. Schedule an appointment today!
Helped my princess
8/6/19: Dr. Christina helped my princess get her tongue tie all fixed up. Thanks so
Much - Kalyea
Frequently Asked Questions
The tissue that attaches any organ to nearby tissue to prevent it from flopping around is called frenum, or frenulum. There are several frenums in the mouth, the most prominent usually being the frenum under the tongue and upper lip. When the frenum attachment is too tight or short, it can restrict the movement of the tongue or lip. In young children, this can cause normal things like breastfeeding, talking, or swallowing to become more challenging. A Frenectomy is the corrective procedure that releases the tension on the frenum allowing better movement of the tongue or lip. At Tiny Texans Pediatric Dentistry, Dr. Christina Ramirez uses a soft tissue laser to complete Frenectomies on newborns (from days old to 6 months) and children. The earlier the tie is released, the sooner the child can learn to use their lip and tongue correctly. Lasers are believed to have better healing and less bleeding than using a scalpel or scissors.
Some hospitals will check newborns at birth for signs of a lip or tongue tie, others will not. The first symptom of a lip or tongue tie is usually difficult or abnormal pain with breastfeeding.
For older children, challenges with speech, eating and swallowing can be signs that there is a restrictive tongue frenum. Sometimes you can see a large gap between the child’s two front teeth if the lip frenum attachment is too low, thick or tight. If you suspect your child may have a restrictive tie, it is best to schedule an evaluation with a training doctor immediately.
Dr. Christina Ramirez uses a soft tissue diode laser for Frenectomies. For newborns and infants, the patient is swaddled and has safety goggles placed to protect their eyes from any possible laser exposure. A small amount of topical anesthetic is placed along the tissue to be released before the laser is used. The procedure takes a few minutes for each area and the baby is returned to mom immediately after to breastfeed. Most mothers are able to feel a difference in the baby’s latch immediately.
For older children, patient cooperation is a huge factor and nitrous oxide or an oral sedative like versed may be used to help with the experience. Because the tissue is usually thicker at this age, a local anesthetic such as lidocaine is used to insure patient comfort during the Frenectomy.
Each child heals differently, but you can expect some soreness around the Frenectomy area for 3-7 days. We find that over the counter medications like ibuprofen (children over 6 months only) and acetaminophen work well for soreness and should be used as needed for pain. Arnica tablets and Rescue Remedy are also more holistic options to assist with the healing process. There is sometimes some slight swelling or bleeding around the treat area that will revolve within first 24-48 hours. Stretches will be reviewed with you before your child’s Frenectomy is completed to assist with proper healing and minimize reattachment. These stretches will be done about 4-6 times a day for about 2 weeks. A follow up appointment will be scheduled with Dr. Christina Ramirez the week after the Frenectomy to make sure the site is healing correctly.
Meet Our Doctor:
Dr. Gracen Marriott
Board Certified Pediatric Dentist
Gracen Marriott, DDS, was born and raised in a small mountain town in Colorado where she spent time skiing, snowboarding, and hiking in the mountains. She grew up the second of five children, so her house was always busy, loud, and lots of fun! She completed her undergraduate degree at Duke University, studying Biology, Chemistry, and Psychology.
It was in dental school that she fell in love with the state of Texas and met her fellow dentist husband, Tyler. Dr. Gracen stayed at UT Health San Antonio to complete her residency ...