Skip to main content
Emergency Services
Dental trauma in your kids is scary.

Let a compassionate, caring pediatric dentist experienced in emergencies treat your children.

Emergency Services | Dentist
Call if you think you have an emergency.
Contact us!

Emergency Services

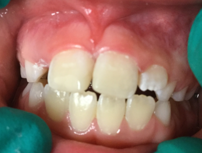
Dealing with your child’s dental trauma is one of the scariest experiences a parent can have. Unfortunately, because kids love to play, dental emergencies are all too common.

Whether your child has become injured in a fall, playing sports, or putting a foreign object inside the mouth, at Tiny Texans Pediatric Dentistry, we are here to help with any dental emergency. Austin pediatric dentist Dr. Christina Ramirez understands that efficient and effective treatment is necessary for situations where your child’s tooth is at risk.

How to Know if Your Situation Is an Emergency

A trip to the emergency room or a call to 911 is necessary if your child is seriously injured. If he or she has any of the following symptoms, this is a serious emergency that must be dealt with immediately:

  • Has passed out or become unconscious
  • Is disoriented and nauseous
  • Has blurred vision or slurred speech
  • Is bleeding with no response to pressure
  • Has an object stuck in the mouth
  • Has a large gash or cut

Other times, you should call our office, such as in the following situations:

  • A tooth has been knocked out of your child’s mouth
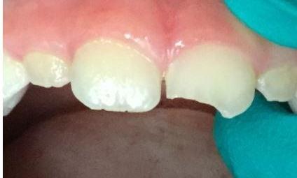
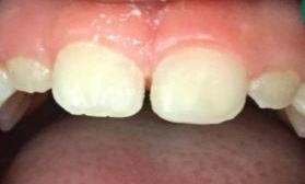
  • A tooth appears to be cracked or compromised in some other way
  • A tooth is causing pain or is ultra-sensitive to hot or cold
  • A tooth has turned dark
  • The jaw has become locked in the open or closed position
  • There is pain in the jaw
  • There is a clicking sound in the jaw

If you are unsure of what to do, give us a call and we can advise you as to the best course of action.

What to Do When a Tooth Is Knocked Out

If your child’s tooth is completely avulsed (knocked out), try to find the tooth if you can. Next, determine whether the tooth in question is a baby tooth or an adult tooth. Chances are, if it is a baby tooth, no further treatment is needed and you DO NOT want to try and put the tooth back in. It is still a good idea to make an appointment to come in and have the site checked just to make sure.

If it was a permanent tooth, try to find the tooth and put it back into the same spot in the gum if your child is old enough to help keep it there without swallowing it. Or you can place the tooth in a small container with a little bit of milk to keep it moist. Call Dr. Christina right away to have your child seen. If the tooth hasn’t been damaged, this will give her an opportunity to determine whether or not it can be saved.

It is important to note that if your child loses his or her tooth because of an auto accident or a fall, a trip to the emergency room is the best option to ensure there are no other injuries associated with the incident.

Call Our Office if You Think There Is a Dental Emergency

If your child has suffered a dental injury or is in pain, try not to panic. Give us a call right away, and we can talk you through the situation. Dr. Christina will answer your questions, address your concerns, and let you know if an office visit is necessary.  

Frequently Asked Questions

A dental emergency is when there is continuous tooth pain or a severe injury to the mouth. The most common cause of a dental emergency for children is a traumatic dental injury. With baby teeth, it is more common for a tooth to be knocked loose or out of place. With adult teeth on children, it is more common for a front tooth to be chipped or broken. 

Dr. Christina Ramirez is trained to treat dental emergencies that can occur to children. Most trauma to baby teeth does not need immediate care, but we do recommend calling us to schedule an evaluation to assess the damage. If a dental emergency happens after hours, call the emergency care line at 512-777-0301. Dr. Christina will walk you through what to do next and may have you send photos of the area to help diagnose the injury. If there is damage to an adult tooth, the timing of treatment is more critical. If an adult tooth is ever knocked out, put it in milk within 60 minutes and call us immediately to replant it. 

It is important to contact a pediatric dental office such as Tiny Texans Pediatric Dentistry the minute your child starts to mention tooth pain. Until the tooth can be evaluated by a dentist, try to limit very hot or cold foods and drinks, stick to soft foods, and minimize chewing in the area causing tooth pain. Other the counter pain medication such as ibuprofen can also help with the pain associated with an infected tooth.

Meet Our Doctor:

headshot of Gracen Marriott DDS

Dr. Gracen Marriott
Board Certified Pediatric Dentist

Gracen Marriott, DDS,  was born and raised in a small mountain town in Colorado where she spent time skiing, snowboarding, and hiking in the mountains. She grew up the second of five children, so her house was always busy, loud, and lots of fun! She completed her undergraduate degree at Duke University, studying Biology, Chemistry, and Psychology.

It was in dental school that she fell in love with the state of Texas and met her fellow dentist husband, Tyler. Dr. Gracen stayed at UT Health San Antonio to complete her residency ...

Featured Blog Posts - Emergency Services

December 2, 2019

Educating School Nurses on Dental Trauma

Did you know that 25% of school aged children experience some form of dental trauma? Being that children spend a good amount of time at school the likelihood of dental trauma happening at school is high. These children are then sent to their school nurse to assess the damage. On Thursday, November 14, 2109, Dr. Christina volunteered an hour of her time to speak to all the school nurses of Hays Independent School District about the treatment of dental traumatic injuries. Injuries to both baby teeth and adult teeth were ...

Don't put off treatment for dental trauma.
Call now!